
Aluna Lucimar
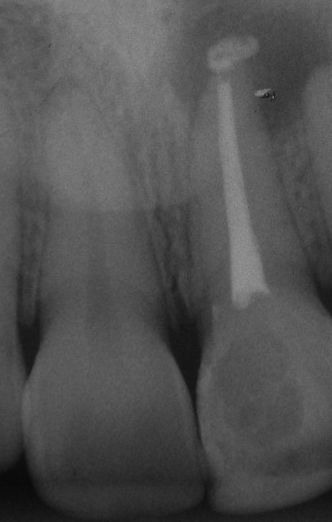
Paciente procurou a faculdade,pois relatava dor contínua,região de incisivos sup.,ao teste de vitalidade resultado foi negatico,ao exame radiografico foi constatado um tratamento endo insatisfatório dente 21,com espaço periapical alargado(área radiolúcida),foi realizado retratamento e diagnosticado como necro II.
tecníca de oregon modificada
uso das gates
hipoclorito 2,5%
Edta
MIC-calem pmcc
obturação c.l. ativa e sealer26
blindagem c.iv.

Paciente sexo feminino ,18anos procurou a faculdade pois havia apresentado tumefação extra-oral à algum tempo na região dos incisivos sup. ,história de trauma no dente 21,mais ou menos 6 anos, teste de vitalidade-negativo ; ausência de fístula;exame ragiografico-área radiolucida na região periapical diagnóstico-necrose pulpar ;conduta:técnica de oregon modificada ,solução irrigadora hipoclorito a 2,5%,EDTA 17% ,uso do IAF; calen pmcc ;obturação :condensação lateral ;blindagem C.I.V.
Obs. extravasamento acidental de cimento,proservar!prognóstico favorável